- 10 octobre 2025
Faculté d’odontologie de Lorraine
- Diplôme de docteur en chirurgie dentaire
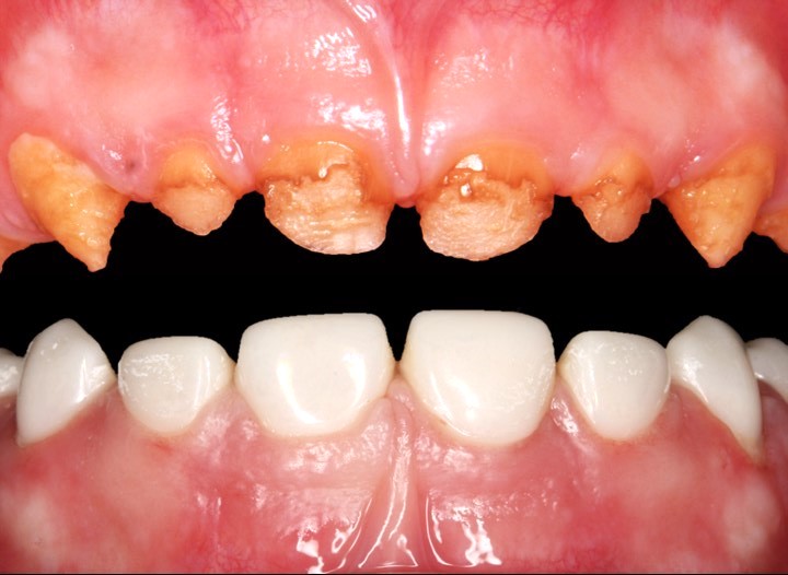
Cette formation théorique et pratique explore les techniques de pulpotomie sur dents temporaires et l’utilisation de couronnes pédiatriques préformées esthétiques.
La session théorique permettra une meilleure compréhension des processus biologiques et de faire l’état de la littérature scientifique.
Les ateliers pratiques permettront aux participants de maîtriser chaque étape, de la pulpotomie à la pose de couronnes esthétiques, garantissant une prise en charge esthétique et durable pour l’enfant.
L’objectif est de vous donner les clefs pour pouvoir intégrer sereinement ces restaurations esthétiques dans votre pratique quotidienne.
8h45 : Accueil des participants
9h00 : Actualisation des connaissances sur les thérapeutiques pulpaires de dents temporaires vitales
- Présentation NeoPutty
09h30 : Les couronnes pédiatriques préformées (CPP) zircone
- Etat de la littérature
- Etapes de préparation clinique
- Tips et astuces pour se perfectionner – retour d’expériences
11h00 : Les couronnes pédiatriques préformées résine Bioflx
- Etat de la littérature
- Etapes de préparation clinique
- Tips et astuces pour se perfectionner – retour d’expériences
12h00 : Pause déjeuner (inclus)
13h30 : Préparation de molaire temporaire zircone
- Démonstration
- Mise en pratique : Pulpotomie sur molaire temporaire mandibulaire et préparation coronaire pour CPP zircone
14h30 : Préparation d’incisives temporaires zircone
- Démonstration
- Partie pratique : Préparation coronaire des 4 incisives maxillaires pour CPP zircone
16h00 : Préparation de molaire temporaire Bioflx
- Démonstration
- Partie pratique : Préparation coronaire d’une molaire temporaire mandibulaire pour Bioflx
17h30 : Fin de journée
